在父母眼中,孩子的笑容就是最美的风景。然而,看着替牙期的女儿,莉莉爸爸实在想不通:换牙后的门牙又大又歪,仿佛瞬间进入丑小鸭阶段,曾经又白又齐的小乳牙,怎么越换越丑了? 2024年8月,莉莉爸爸带着7岁……
在父母眼中,孩子的笑容就是最美的风景。然而,看着替牙期的女儿,莉莉爸爸实在想不通:“换牙后的门牙‘又大又歪’,仿佛瞬间进入‘丑小鸭’阶段,曾经又白又齐的小乳牙,怎么越换越丑了?”
2024年8月,莉莉爸爸带着7岁女儿拍摄证件照时,细心地注意到孩子笑起来的时候嘴巴很紧绷,不是很自然。回想起女儿曾经也有口呼吸、嘴巴闭不住的情况,瞬间让这位父亲起了警惕之心:“我自己的牙齿就有点凸,实在害怕历史重演在女儿身上。”
趁着假期,爸爸带着莉莉来到新桥口腔成都衣冠庙院区儿童早期矫正专科寻求帮助。

新桥口腔儿童早期矫正专科医生石佳桐
到院后,石佳桐医生为莉莉安排了全面检查,根据全景片、CBCT、口扫检查结果显示,莉莉存在牙弓狭窄、门牙唇倾、深覆盖等问题,这些问题已经影响到了她的正常咬合,需要进行早期矫正干预。

莉莉面部照四个月对比
好在莉莉家长发现及时,石医生表示,替牙期又叫“丑小鸭期”,此阶段常见牙齿排列不齐、拥挤的现象,部分情况会随时间自然改善,但由颌骨发育引起的牙列问题则需要专业的干预。
石医生小贴士
7、8岁的孩子正处于生长发育阶段,这个时期颌骨发育具有高度可塑性,进行早期矫正可以更好地引导颌骨正确生长,预防牙齿错乱拥挤、面部不对称等问题。
以下是石佳桐医生对莉莉治疗方案的详细介绍。
【诊断结果】
牙弓狭窄、牙列拥挤、门牙唇倾、深覆盖深覆合。
【治疗方案】
由于孩子正处于替牙期,首先通过佩戴专属定制的隐形矫正器进行上下颌扩弓,然后内收上前牙来改善前牙深覆盖深覆合,同时逐渐排齐上下前牙,协调上下颌骨关系,确保牙齿与面部的协调发展。
【方案解读】
扩弓治疗的目的是为了在一定程度上增加牙弓的宽度和长度,为拥挤的牙齿提供更多的排列空间。
通过隐形矫治可适当促使下颌骨向前发育,有效改善上下颌位置关系。

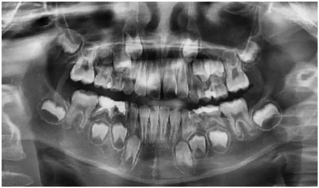
莉莉口腔全景片(替牙期,牙齿拥挤)
【知识点】隐形矫正器和固定托槽矫正器的选择?
矫正常见的工具有功能性矫治器、隐形牙套及固定托槽矫治器。
对于替牙列期,牙齿还没换完的孩子,如果存在牙齿拥挤不齐或牙弓狭窄,牙齿突等错颌畸形,其实隐形矫治器是一种比较好的选择,除了美观和舒适这两个明显的优势外,隐形矫治器方便摘戴和清洁,避免孩子牙齿在长时间佩戴矫治器过程中清洁不到位发生龋坏或一些牙龈炎症。更重要的是,替牙列期孩子,隐形牙套可以利用孩子生长发育潜能,适度扩宽牙弓,整塑上下颌骨,协调上下颌骨关系,以达到更加完善的矫治疗效。
【知识点】为什么乳牙期牙齿整整齐齐,一换牙就长歪了?
这个原因比较复杂:
1、从生理结构上来看,乳牙一般较小且数量较少(20颗),它们在口腔内的排列相对容易保持整齐。然而,当孩子进入替牙期,而颌骨发育尚未完全跟上时,萌出的恒牙就会由于体积更大、数量更多(28-32颗),没有足够的空间而变得拥挤或排列不齐。
2、不良习惯的影响:部分孩子可能有吮指、咬唇或口呼吸等其他不良习惯,导致牙齿歪斜或形成其他类型的错颌畸形。
3、乳牙过早脱落或滞留:乳牙提前掉落会使相邻牙齿移位,导致恒牙萌出空间丧失;相反,若乳牙迟迟不掉(即乳牙滞留),则可能导致恒牙被迫从错误的位置萌出,造成双排牙现象,进而影响牙齿的整体排列。
4、遗传因素:有时候,牙齿排列的问题可能是由遗传决定的。例如,父母一方或双方如果有牙齿不齐的历史,孩子也有可能继承这种特征。

莉莉口内照四个月对比
“矫正到现在已经四个月了,效果确实很明显,笑起来也更好看了。”莉莉家长表示,期待看到更好的结果!
孩子的口腔情况千差万别,家长朋友们可能难以自行判断,对于正在经历或即将面临换牙期的孩子们来说,家长不妨多加关注孩子的口腔健康,适时咨询专业医生,让孩子带着最美的笑容茁壮成长~
新桥口腔2025正牙冬令营青少年正牙特惠中!快趁寒假一起来GET自信微笑吧!