近日,徐女士在新桥口腔成都光华院区结束了正畸治疗,取下托槽的当天,她向自己的主治医生、院区正畸专业组副主任费露赠送了一面锦旗。 在接受正畸治疗的三年多时间里,徐女士和费医生处成了朋友,费医生……
近日,徐女士在新桥口腔成都光华院区结束了正畸治疗,取下托槽的当天,她向自己的主治医生、院区正畸专业组副主任费露赠送了一面锦旗。
在接受正畸治疗的三年多时间里,徐女士和费医生处成了朋友,“费医生”变成了“露姐”,这份情谊也被定格在了锦旗上:“待患如亲”、“露姐真行”!直白而俏皮的文字帮徐女士说出了内心的感激之情。

这是徐女士第二次接受牙齿矫正治疗,这次矫正让她摆脱了牙齿“好看不好用”的尴尬,结束了长期缺牙造成的不良影响,原来横在牙槽骨里的智齿也被牵引出来“变废为宝”,成了有用的大牙。
“结果超出预期!我超满意!之前其他医院让我拔了右侧智齿做种植,左侧先矫正关闭缝隙再种植……真幸运我来了新桥,找了露姐!”

新桥口腔成都光华院区正畸专业组副主任费露
由于种种原因,矫正治疗结束后有部分患者会产生二次矫正的需求,对医生来说这往往意味着更高的难度、更大的风险。徐女士的二次矫正都有哪些难点?医生采用了什么样的方案去达成治疗目标?
想知道以上问题的答案?让我们听听徐女士的主诊医生:新桥口腔成都光华院区正畸专业组副主任费露怎么说。
问:初次来院时,徐女士的牙齿存在哪些问题?
费露:她是2021年2月来的医院,当时是24岁,主诉是咬合不好,检查发现有3颗牙缺失,分别是一颗下前牙和下颌双侧6号牙(六龄牙);右侧下颌7、8号牙向前和向舌头一侧倾斜,和上颌形成了锁颌,这是一种不正常的咬合关系,所以她这一侧基本上不能咀嚼。
她的下前牙应该是第一次矫正时拔除的,双侧6号牙缺失是第一次矫正完成之后才出现的问题,同时,她下颌左侧智齿为阻生牙,横着长在牙槽骨里,右侧智齿只萌出了部分,整体情况比较复杂。

口内照片及全景片(2021年2月)
问:她对之前完成的矫正治疗有哪些不满意呢?
费露:她在外院做的第一次矫正主要是排齐了牙齿,解决了美观问题,但仍存在功能问题,咬合并没有达到理想的状态,比如右侧的锁颌就是非常典型的咬合问题。
后来,她下颌的两颗6号牙因为严重龋坏被拔除后,长期未做处理,造成邻牙倾斜,咬合和咀嚼就更加困难了,她找到我时,不仅有咬合问题,还有缺牙问题,而且还非常年轻,对治疗结果的要求很高。
问:你为她制订了一个什么样的治疗方案?
费露:我的方案是做固定矫正,由于她上下颌牙齿数量不一致,上面比下面多两颗,我计划拔掉上颌双侧的5号牙,下颌通过把双侧智齿牵引出来,把倾斜的牙齿扶正,来解决缺牙问题。
至于为什么选择5号牙进行拔除,是因为左上5号牙大部分为充填体,根尖有炎症,远期保留价值不大,综合考量后决定拔除,这颗牙也是一个不规范治疗的遗留问题,没有做根管治疗,只做了打桩和补牙。

侧位图(治疗前)
具体的矫正方案是:竖直右侧下颌7、8号牙纠正锁合,并往近中方向移动关闭缺牙间隙,近中移动左侧7号牙,牵引并竖直8号牙(智齿)关闭缺牙间隙,替代双侧缺失的6号牙,改善后牙咬合关系。
问:这个案例属于什么难度?难度主要体现在哪些方面?
费露:这是一个高难度案例,存在很多之前口腔治疗的遗留问题,二次矫正时需要纠正锁颌问题,要通过将现有磨牙扶正、牵引阻生智齿来解决缺牙问题,要关闭上下四个拔牙间隙,要调整整体咬合。
由于顾客不接受常规方案打支抗钉,只能从弓丝上着手进行牙齿的扶正,以邻牙为杠杆,通过舌钮等小工具去把两颗倾斜的牙扶正,这样多花了一年左右的时间,医生的治疗难度也增加了很多,每次加力都需要更加细致。

问:历时三年多完成这样一例治疗,你对治疗结果满意吗?
费露:开始治疗之前,我也给顾客交待过两颗智齿不一定能达到最理想的角度,也可能比正常牙齿更松一些,左下7号牙不一定能竖直起来,可能需要拔掉做种植。
矫正结束后,这些情况都没有出现,两颗智齿的位置很正,也长得很稳,治疗结果超出了我的预期!
因为之前其他医院建议她下面要拔牙2-3颗,先做种植再做矫正,我通过这样一个方案为她尽量保留了牙齿,减少创伤的同时也节省了治疗费用,她说现在两边都能正常吃东西了,效果还是比较满意的。

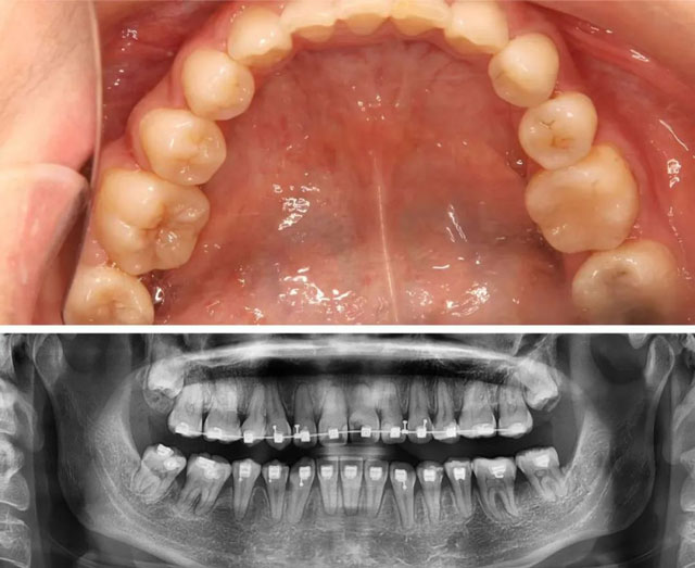
口内照片及全景片(2023年11月)
问:相对于初次矫正,二次矫正有何不同?
费露:通常来说,二次矫正比第一次矫正更加复杂一些。医生首先需要了解顾客来进行二次矫正的目标是什么,是对上一次矫正的效果不满意,还是出现了新的问题,要根据这些来制订矫正目标。
二次矫正的顾客对治疗效果的要求会更高,期望值也更高,但是风险其实比第一次矫正大,比如牙根吸收的风险会增加,牙周状态可能更差,矫正速度会更慢,要求医生在制订治疗方案和实施治疗的过程中更加谨慎和细致,对经验也有一定要求。

口腔正畸是新桥口腔的传统强项,其接诊人次、成功率及满意度等方面均领跑西部口腔专科连锁领域。
新桥口腔正畸专科连续多年夺得隐形正畸国产品牌时代天使、隐形正畸国际品牌隐适美案例量中国西部第一,目前正畸案例数量累计超过3万例,其中就包括相当比例的复杂、疑难案例以及二次矫正案例。新桥口腔正畸专科拥有稳定的医疗团队,专职正畸医生数量达30余人,可为成人、儿童及青少年提供专业、高效、个性化的口腔正畸治疗。