辗转多方求医未果,90后女生在新桥终治齿患!……
“首先我不是托,我陆续在新桥治疗也一年多了……我的主治医生徐会值得我为她写一篇赞美。”
近日,一位网友在社交媒体上发帖分享看牙经历,讲述了自己在新桥口腔看牙一年多的真实感受,并通过医院工作人员转达对徐会医生的感谢。

遇庸医酿旧疾,多方求医无果
发帖人刘女士今年30岁,却自称是口腔科“老患者”。
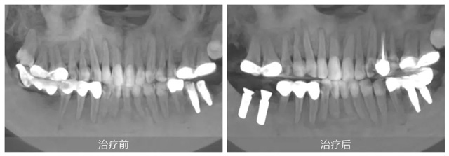
她自小牙齿不好,早年正牙过程中不幸遭遇正畸片切不当导致下颌右侧两颗磨牙严重受损,之后未经正规处理直接拔牙,造成重要磨牙缺失,严重影响咀嚼功能。随后原治疗机构采用倾斜智齿制作了不良烤瓷长桥修复,导致前磨牙牙髓坏死造成根尖炎。雪上加霜的是,五年前又被某口腔机构蹩脚医生把上颌两侧磨牙做了不必要的牙冠,之后下颌左侧两颗磨牙也因种植体位置不正导致牙冠频繁脱落,种植体也有折断风险。
牙齿状况频出不仅让刘女士的生活质量受到严重影响,更让很多口腔机构不敢接招。“去了很多医院,大多都让我回找之前的医生重新处理。如果当初的医生足够专业,我也不会受那么多苦了。”回忆那段经历,刘女士依然难掩无奈和沮丧。
到新桥终齿患,意外之举暖心
2023年10月,求医屡屡碰壁的刘女士怀揣希望,慕名来到新桥口腔成都高新院区。

刘女士表示:“初次面诊我就对徐会医生很有好感,看牙这么多年我都‘久病成医’了,医生靠不靠谱我也能很快判断。”
果然,徐会医生不负所托轻松完成了刘女士下颌左侧的牙冠修复。并对其他牙齿问题提出了一套综合治疗方案:先拆除不良修复体,拔除下颌右侧的倾斜智齿,然后在缺牙处植入两颗种植牙,并对前磨牙实施根管治疗。这一方案更加微创,也更加经济和高效。
在种植手术顺利完成后,刘女士多次到院指定由徐会医生负责后续下颌三颗牙齿的治疗:“每一次治疗结束,我都感觉离口腔健康更近了一步。感谢新桥口腔,感谢徐医生,让我看到了希望!”

在最近的一次根管治疗过程中,当刘女士拿着治疗费用清单准备缴费时,突然发现清单上少了根管补牙的材料费。
“我拿回去找徐医生确认,才知道原来这项费用是她特意申请减免了的。”刘女士感动地说,“估计徐医生考虑到我的治疗周期比较长,花费较大,所以主动减免了一部分费用,而且她开单的时候并没有告诉我这件事。”
“硬核技能”疯狂圈粉,拔好牙才能种好牙
徐会医生出身颌面外科,拔牙“快准狠”。作为一名 90后医生,她的技术和经验在圈中名气不小,是很多顾客心目中“掌管拔牙的神”。
曾有一位接受过徐医生治疗的患者将其拔高难度智齿的牙片发布在小红书,迅速引起了大量围观,甚至有不少同行也纷纷慕名而来留言点赞。

“以前就听说徐医生‘三秒拔牙’很厉害,亲身经历后更是佩服得五体投地。右边两颗大牙,感觉徐医生不到半分钟就拔完了,甚至后面也没怎么肿和出血。”刘女士说道:“以前在其他医院也拔过牙,不仅肿了好几天,还要连续输液,都有心理阴影了。没想到在徐医生这里这么轻松,我拔完两颗牙回去就安安稳稳睡了个午觉,第三天就能吃火锅,状态特别好!”

网上好评如潮,医术有口皆碑
面对患者的赞誉,徐会医生表示,拔牙靠的是技巧,而非蛮力。在患者看来拔牙和种牙好像互不相关,拔牙是在破坏牙齿,而种牙是在修复牙齿,但它们之间的关系是非常密切的,把牙拔好了,后面才能种得更好,种牙时也能更省钱。

新桥口腔2024病例大赛上,徐会医生受邀担任颌面外科专业的评委,也是大赛最年轻的评委成员
以信任为桥,共筑口福未来
“在医疗行业日益商业化的今天,像徐医生这样技术过硬又不失温情的医生,很难不让人感到敬佩与信任。”刘女士补充道:“尤其我亲身经历过庸医的困扰,更明白专业与真诚的价值。所以我愿意主动站出来为徐医生打CALL,为新桥发声。”
新桥口腔成都高新院区业务院长、原华西口腔医院种植专家李华表示,我们非常感激每一位像刘女士这样的患者,你们的真实反馈和支持,不仅是对我们工作的最大肯定,也是推动我们不断进步的重要动力。未来,新桥口腔将继续坚持“以患者为中心”的服务理念,不断提升医疗技术和管理水平,致力于为广大患者提供更有温度、更加优质、高效的口腔健康服务。